Physical Address
304 North Cardinal St.
Dorchester Center, MA 02124
Physical Address
304 North Cardinal St.
Dorchester Center, MA 02124

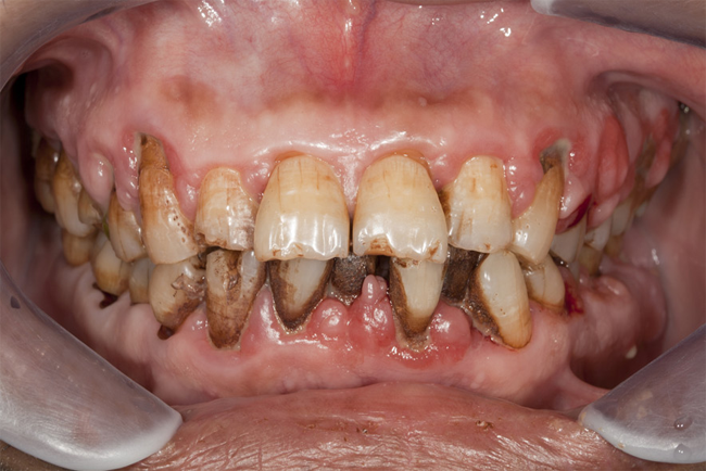
Gum disease is often dismissed as a minor dental issue. However, many people still ask an important question: is gum disease deadly? While gum disease itself does not usually cause death directly, ignoring it can contribute to serious and sometimes life-threatening health complications. Therefore, understanding the risks and taking early action is essential.
Gum disease, also known as periodontal disease, is an infection of the tissues that support your teeth. It usually begins with plaque buildup along the gum line. If not treated early, it can progress from mild gum inflammation (gingivitis) to advanced periodontitis, which can damage bone and lead to tooth loss.
Because gum disease often develops silently, many people remain unaware until it reaches an advanced stage. As a result, delayed treatment increases overall health risks.
To be clear, gum disease is not considered directly deadly.
So, while gum disease alone does not usually kill, its complications should never be underestimated.
Although it starts in the mouth, gum disease can influence the entire body. Below are some serious conditions linked to untreated periodontal disease.
Research shows a strong connection between gum disease and cardiovascular problems. The inflammation caused by gum infections may contribute to narrowed arteries. As a result, this increases the risk of heart attacks and strokes over time.
People with diabetes are more vulnerable to gum disease. At the same time, gum disease makes blood sugar harder to control. Therefore, this creates a dangerous cycle that raises the risk of severe diabetic complications.
Read More>>Terminal Illness Meaning
Bacteria from infected gums can be inhaled into the lungs. Consequently, this may lead to respiratory infections such as pneumonia, especially in older adults or individuals with weakened immune systems.
Pregnant women with severe gum disease face a higher risk of premature birth and low birth weight. Thus, oral health becomes especially important during pregnancy.
Early detection can prevent serious outcomes. Watch for these warning signs:
If you notice any of these symptoms, you should seek dental care promptly.
Fortunately, gum disease is highly preventable. With proper oral hygiene and regular dental visits, most cases can be avoided or reversed in the early stages.
By following these habits consistently, you significantly reduce your risk.
So, is gum disease deadly? Not directly, but the complications can be serious and, in rare cases, life-threatening. Therefore, gum disease should never be ignored or treated as a minor issue. Maintaining good oral hygiene not only protects your smile but also supports your overall health.
Read More>>Brighton & Hove Albion vs Bournemouth